大脑默认模式网络(DMN)是神经科学领域的一个核心概念,它代表了大脑在休息状态下的一种内在活动模式。
当人体基本进入休息状态时,它来接管我们的大部分工作了。

- DMN的定义与历史发现
DMN是指大脑中一组相互连接的区域,这些区域在个体不专注于外部任务时(如休息、日梦或内省时)表现出高度活跃。它也被称为“默认网络”或“内侧额顶叶网络”(medial frontoparietal network, M-FPN)。DMN的核心在于它支持内部导向的认知过程,而不是外部刺激驱动的任务。
历史追溯到20世纪初:1929年,Hans Berger通过脑电图发现大脑在休息时仍有持续活动,但当时未被重视。1950年代,Louis Sokoloff观察到大脑代谢在休息和任务状态下保持恒定。1970年代,David H. Ingvar注意到休息时额叶血流最高。1990年代,功能磁共振成像(fMRI)显示某些脑区在任务中“失活”。2001年,Marcus Raichle正式提出“默认模式”概念,此后研究激增,使用独立成分分析(ICA)等方法确认DMN的连通性。 到2020年代,DMN研究已扩展到其在精神疾病中的作用,并挑战了早期“任务负网络”的误称,因为DMN也在内部任务(如叙事理解)中活跃。
- DMN的关键脑区与结构
DMN主要包括以下核心区域,这些区域通过白质束(如胼胝体和扣带束)高度连接,形成一个功能集线器:
- 后扣带皮层(PCC)和楔前叶(Precuneus):整合注意、记忆和感知;PCC的腹侧部分处理自我相关任务,背侧部分涉及意识。
- 内侧前额叶皮层(mPFC):负责自我加工、自传记忆和决策。
- 角回(Angular Gyrus):连接感知、注意、空间认知和情节记忆。
- 子系统:包括背内侧子系统(思考他人)和内侧颞叶子系统(自传记忆和未来模拟)。
DMN的结构和功能连通性高度重叠,使用fMRI的种子分析或任务失活方法定义。人类DMN比灵长类更发达,尤其是mPFC区域。 以下是DMN的典型脑区示意图,用于可视化其分布:

The Default Mode Network (DMN) and training its abilities in the brain
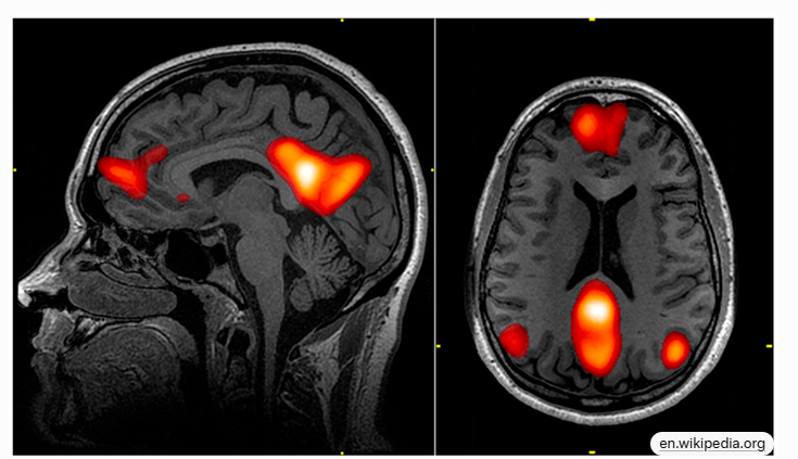
另一个扫描图像显示DMN在休息状态下的活跃模式:

Default mode network – Wikipedia
第三张图概述了DMN受影响的脑区:

General overview of the brain regions in the default mode network …
- DMN的功能
DMN的主要功能是支持内部心理过程,形成连贯的“内部叙事”,这对构建自我感至关重要。 具体包括:
- 自我相关过程:自传信息、自我参照、情绪加工。
- 思考他人:心智理论、情绪共鸣、道德推理、社会评估。
- 记忆与未来规划:回忆过去、想象未来、情节记忆、故事理解。
- 休息与心智游移:在被动休息或叙事理解(如看电影)时活跃,支持工作记忆中的详细表征。
- 创造力与审美:在心智游移时,促进断开概念的关联,导致创意洞见;也与审美感知相关。
DMN在外部任务中通常失活,但在内部导向任务(如社会工作记忆)中激活。它与故事记忆形成相关,并在任务后重新激活以巩固学习。
- DMN的神经机制
DMN通过低频神经振荡(0.01-0.1 Hz)组织,表现出与其他网络的负相关(如注意网络)。其机制包括:
- 连通性:结构-功能重叠;有效连通性显示mPFC到PCC的方向性,但结果不一致。
- 动态重构:在任务中动态调整;与任务正网络(TPN)竞争,TPN在外部任务中主导。
- 调制因素:冥想减少活动,迷幻药(如赛洛西宾)导致去同步化,睡眠/运动/心理治疗影响连通性。
最近X平台讨论强调DMN在迷幻体验中的作用:如Bryan Johnson的5g赛洛西宾实验显示DMN抑制导致感官增强、熵增加和年轻化脑模式。

- DMN在认知与心理健康中的作用
DMN支持认知灵活性、情感调节和适应性思维。 它在无聊时激活,促进意义生成和抑郁预防。 但过度活跃可能导致负面循环,如焦虑中的威胁扫描。
在心理健康中,DMN的动态交互(如与显著网络SN的“开关”作用)维持情感平衡。儿童逆境可能导致DMN连通性异常,影响成年心理健康。
- DMN与相关疾病
DMN功能障碍与多种精神疾病相关,通常表现为连通性异常(如过度或不足)。
- 抑郁症(MDD):DMN过度活跃导致沉思(rumination),mPFC-PCC连通性增加。
- 焦虑症:慢性焦虑改变DMN连通性,增加与杏仁核互动,导致持续威胁扫描。
- 阿尔茨海默病:DMN早期退化,葡萄糖代谢减少、β-淀粉样沉积。
- 自闭症谱系障碍(ASD):连通性降低,影响社会互动。
- 精神分裂症:异常连通性,遗传相关。
- ADHD:DMN与TPN的反相关减弱,导致注意力分散。
- PTSD和慢性痛:连通性增强或减弱,与创伤相关。
这些异常可能通过DMN干扰任务表现、改变网络对抗或损害心理功能引起。
- 干预与调制DMN的方法
DMN可通过非侵入性方式调制:
- 冥想:减少DMN活动,促进连通性正常化。
- 迷幻药:如赛洛西宾抑制DMN,导致熵增加、神经可塑性增强,可能逆转抑郁相关生物年龄。
- 运动和心理治疗:改善连通性,减少负面沉思。
- 神经反馈:训练DMN以提升能力。 X用户建议“元觉察”(meta-awareness)来手动关闭DMN,减少焦虑。
- 2023-2025年最近研究进展
最近研究聚焦DMN的动态性和临床应用:
- 2023:DMN时间变异性预测自发心智游移,与注意网络负相关。
- 2024:DMN作为整合枢纽,处理脑网络的汇聚与分歧。 另一研究显示DMN介导持续内部对话。
- 2025:DMN连通性促进自然景观观看的压力恢复。 动态框架显示DMN受视觉心理意象影响。 发展研究强调DMN在儿童逆境中的作用,并链接到ADHD等疾病。 研究还确认DMN在休息时的多变量活动敏感于情境构建。
这些进展表明DMN不仅是休息网络,还动态参与情感恢复和认知适应,潜在用于个性化治疗。
总结与启示
DMN是大脑的“内在引擎”,从自我构建到疾病易感性都发挥关键作用。其功能障碍是许多心理健康问题的生物标记,但通过干预可优化。未来研究可能聚焦DMN的子区域特异性和AI辅助分析,以改善诊断和治疗
Paragoger衍生者AI训练营。发布者:稻草人,转载请注明出处:https://www.shxcj.com/archives/10117